Евгений Жилицын

Евгений Жилицын
Заведующий детским отделением республиканского травматологического центра Минздрава ДНР
Не детские травмыЗаехали навестить юных пациентов Республиканского травматологического центра в Донецке. На связи с этим лечебным учреждением находимся постоянно: сюда продолжают поступать дети с ранениями и минно-взрывными...
«Пульс региона» — ежедневная подборка сообщений о ДНР, поступающих со всех концов России. Объединяем информацию федеральных и региональных органов власти, министерств и ведомств, а также других самых разных источников в большой...
Донецк, 14 мар — ДАН. Медики Республиканского травматологического центра (РТЦ) в большинстве случав борются за спасение жизни раненых обстрелами детей, а не только за сохранение их конечностей. Ситуацию усугубляет применение оружия натовского образца...
Современное оборудование и запас медикаментов помогают спасать жизни и здоровье жителям РеспубликиКровати и коагуляторы, металлоконструкции и большой запас лекарств доставлены в лечебные учреждения Донецка и Макеевки.Евгений Жилицын...
Участники проекта "Герои среди нас" принимают активное участие в голосовании на выборах президента РФРеспубликанские врачи Евгений Жилицын, Сергей Рудской и Богдан Письменный, которые каждый день спасают жизни раненым детям и взрослым...
Все медики Донбасса герои!Именно так считают скромные врачи, которые каждый день спасают жизни раненым детям и взрослым, бойцам и гражданским.Участники проекта "Герои среди нас" – Евгений Жилицын, Сергей Рудской и Богдан Письменный – отметили, что...
В Туле стартовал форум Народного фронта "Все для Победы!"На одной площадке собрались представители организаций и сообществ Российской Федерации, которые обеспечивают поддержку бойцов на передовой.В форуме также принимает участие и делегация Донецкой...
Май:Евгений Жилицын награжден Уполномоченным при президенте России по правам ребёнка Марией Львовой-Беловой за самоотверженную работу и помощь раненым детям ДонбассаЗаместитель Губернатора Тверской области Дмитрий Березин на днях вручил...
Золотые руки Евгения Жилица творят чудеса!Посмотрите на Володю. Он заново учиться ходить! На своих ногах!А до этого было бомбоубежище в Мариуполе. В один из "тихих" дней Володя вышел сварить картошку для тех, кто прятался с ним в...
Донецкие хирурги успешно прооперировали подростка, пострадавшего от взрыва неизвестного предмета, сброшенного с БПЛАВ Республиканский травматологический центр был доставлен подросток 2005 года рождения, пострадавший от взрыва неизвестного предмета...
В четверг, 7 декабря, Глава Донецкой Народной Республики Денис Пушилин принял участие в торжественном мероприятии по случаю 70-летия Республиканского травматологического центра и наградил врачей за самоотверженный...
Дарине 11 лет, она живет в Донецке, недавно у нее обнаружили опухоль кости. Мама Дарины растит ее и еще двух дочек одна, еще одна девочка у нее под опекой.Для операции, которую врачи Республиканского Травматологического Центра проводят...
Донецкие врачи удалили подростку объемную опухоль кости14-летний подросток поступил в Республиканский травматологический центр (РТЦ) Минздрава ДНР с диагнозом «остеохондрома большеберцовой кости».Опухоль выдавила малоберцовую кость и разорвала...
Фото: Global Look Press/Sergey Bulkin Донецк, 30 окт — ДАН. Врачи Республиканского травмцентра исправили деформацию позвоночника у ребенка с тяжелой степенью сколиоза. Об этом сегодня...
В Республиканском травматологическом центре совместной бригадой нейрохирургов и детских травматологов проведена уникальная операция по устранению сколиотической деформации позвоночника 4 степени у ребенка....
Врачи ДНР устранили деформацию позвоночника ребенку с четвертой степенью сколиозаВ Республиканском травматологическом центре Минздрава ДНР впервые в Республике, совместной бригадой нейрохирургов и детских травматологов, была проведена операция по...
Фильм “Герои рядом”Документальная картина о герое нашего времени Евгении Жилицыне, донецком враче, спасающем детей Донбасса.«Если бы нам довелось выбирать Человека года, им, бесспорно, стал...
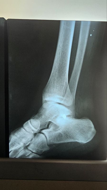
Врачи Республиканского травмцентра удалили осколок из ноги подростка Врачами Республиканского травматологического центра МЗ ДНР было выполнено удаление осколка снаряда из коленного сустава ребенку при...
«Мы боремся за каждый сантиметр конечности». Работа травматолога Евгения ЖилицынаОрденом Пирогова награждён детский травматолог из Донецка Евгений Жилицын. Церемония вручения прошла в Кремле в конце мая. Награду доктору вручил Президент России Владимир...
«Мы боремся за каждый сантиметр конечности». Работа травматолога Евгения ЖилицынаОрденом Пирогова награждён детский травматолог из Донецка Евгений Жилицын. Церемония вручения прошла в Кремле в конце мая. Награду доктору вручил Президент России Владимир...


















